1. Home
  2. Dental Implants

Restore strength, comfort and confidence with long-lasting dental implants from Smart Dental Care. Our expert team provides safe, precise implant treatments that look and feel like natural teeth.

ABOUT DENTAL IMPLANTS

Restore Your Smile with Dental Implants

Are missing, broken, or damaged teeth affecting your confidence? Dental implants offer a permanent, natural-looking solution that can transform your smile — and your quality of life.

At Tooth Club, our advanced dental implant treatments are designed to look, feel, and function just like real teeth. In many cases, your smile can be restored in as little as one day, allowing you to eat, speak, and smile with complete confidence again.

Don’t let tooth loss hold you back. Dental implants are a long-lasting, affordable solution and the closest alternative to natural teeth.

BENEFITS

Benefits of Dental Implants at Smart Dental Care

Dental implants are one of the most advanced and reliable solutions for replacing missing teeth. They provide strength, comfort and lasting function while improving your confidence and oral health.

Strong & Long-Lasting

A fixed solution designed for durability and long-term reliability.

Protects Oral Health

Helps preserve jawbone structure and facial appearance.

Feels Like Natural Teeth

Stable, comfortable, and allows you to eat, speak, and smile with confidence.

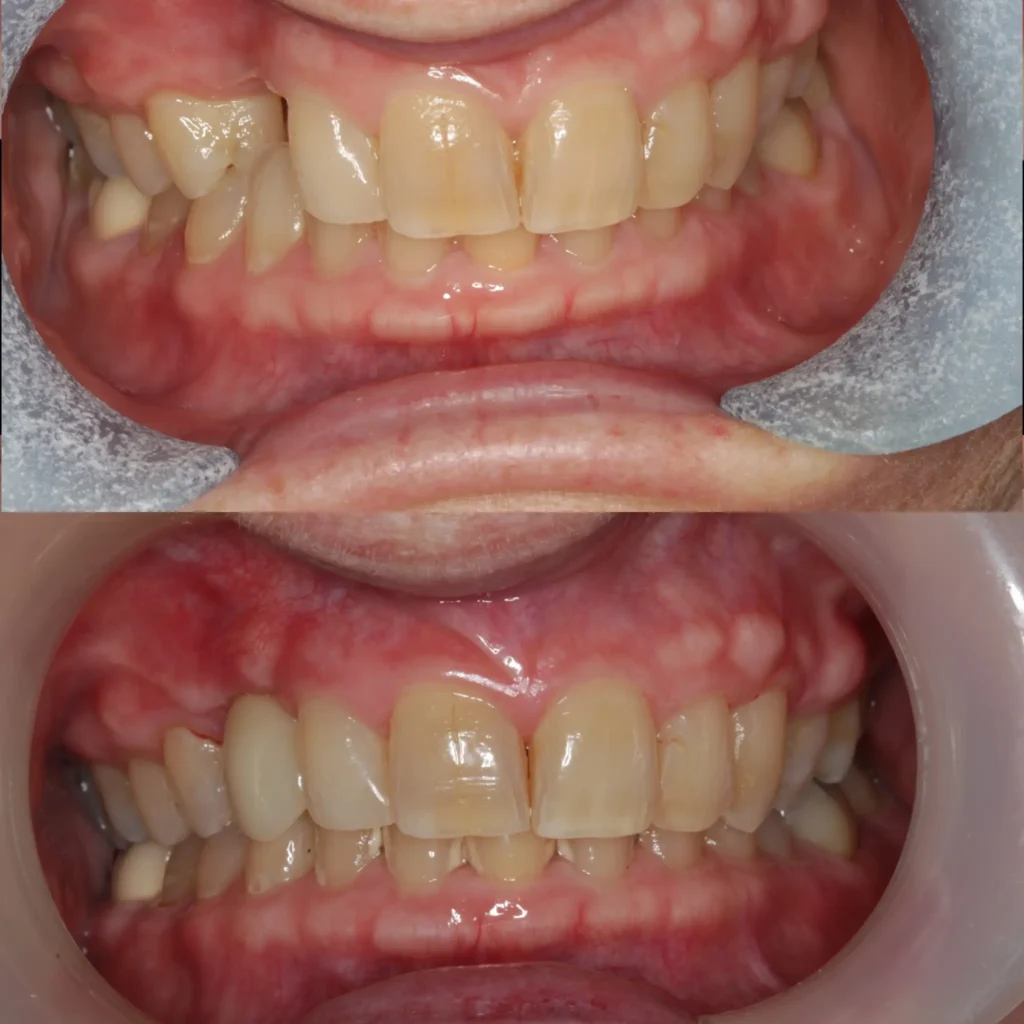
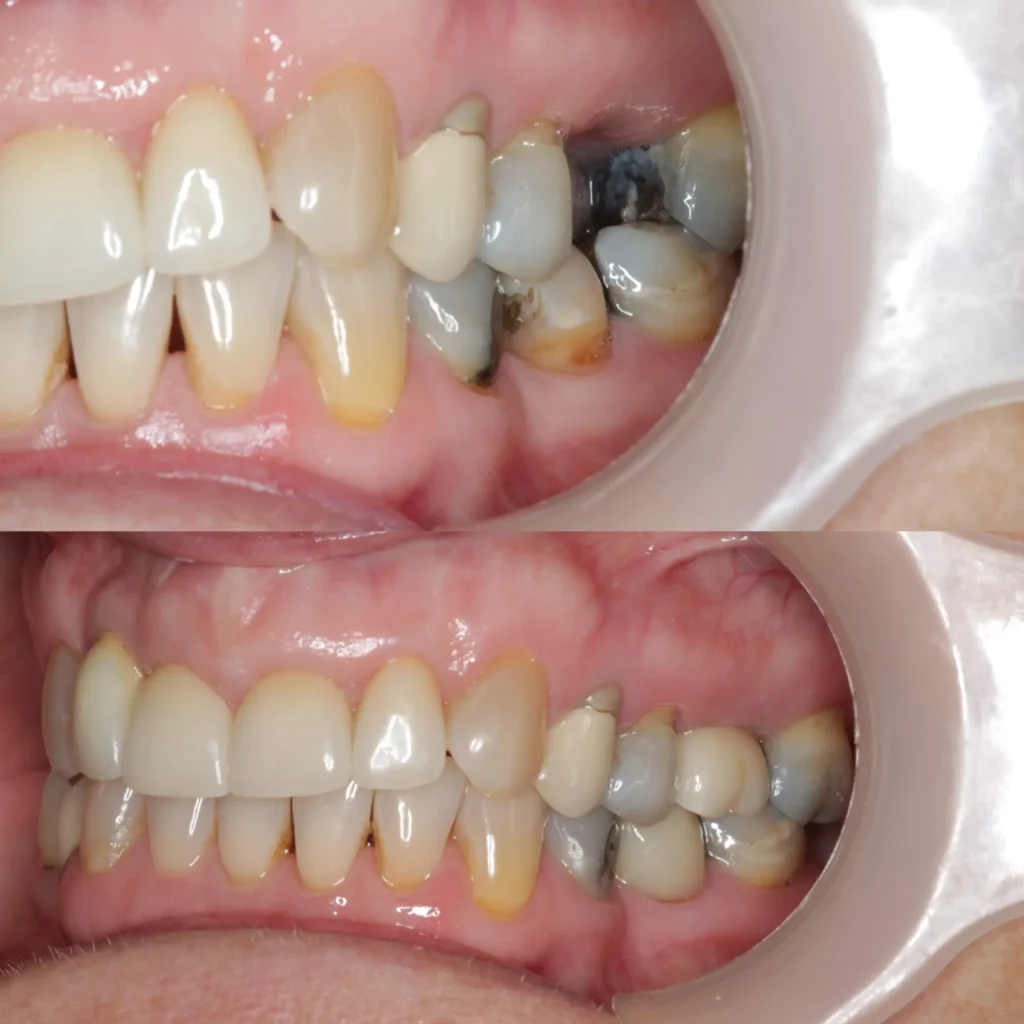
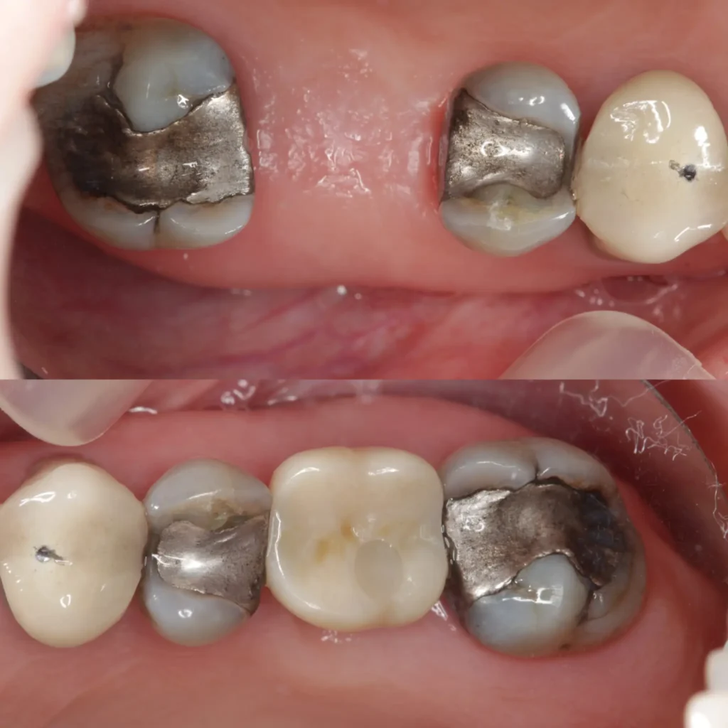
Features

Our Smile Makeover Transformations

JOURNEY

How Dental Implants Treatment Works?

We provide a wide range of restorative treatments tailored to every patient. Whether you’re missing a single tooth or several, our dental implant process is designed for precision, comfort and lasting results.

Consultation & Assessment

Your dentist will carry out a full examination, including scans and X-rays, to confirm your suitability for implants and plan your treatment accurately.

Implant Placement

A titanium post is carefully positioned into your jawbone under local anaesthetic. Some mild bruising is normal and can be managed with simple pain relief. The implant is then left to heal for around 6–8 weeks.

Healing & Integration

During this time, the implant fuses naturally with your bone, creating a strong foundation for your new tooth.

Final Restoration

Once healed, a custom-made crown is fitted to your implant, completing your smile with a natural, secure finish.

TIPS

Post-Implants Care Tips

Proper care ensures your dental implants remain healthy, functional and long-lasting.

Brush Twice a Day

Use a soft toothbrush and fluoride toothpaste to clean around your implant.

Floss Daily

Keep your gums healthy and prevent plaque build-up between teeth and around the implant.

Avoid Hard Foods During Healing

Steer clear of nuts, ice or sticky sweets until your dentist confirms full healing.

Attend Regular Check-Ups

Visit your dentist every six months to ensure your implant and gums remain in great condition.

Quit Smoking

Smoking slows healing and increases the risk of implant failure — quitting helps protect your results.

MEET the dentists

Treatment supported Dentists

SPECIAL OFFERS

Smile Brighter with Our
Limited-Time Special Offers!

Dental Implants

Frequently Asked Questions

At Smart Dental Care, we’re proud to offer leading implant treatments built on quality, safety and trust. Our approach combines advanced technology with patient comfort — ensuring you receive exceptional results every step of the way.

Can I replace my dentures with dental implants?

Yes. Many patients choose implants over dentures for greater comfort, strength and a more natural bite. Because implants are fixed into the jaw, they feel and perform just like real teeth.

With proper care, implants can last 15–20 years or longer. Good hygiene and regular dental check-ups help maximise their lifespan.

Your dentist will perform scans to determine bone density. If additional support is required, a bone graft may be recommended before placement to ensure implant stability.

No. The procedure is carried out under local anaesthetic and most patients report minimal discomfort during or after treatment.

We recommend whitening beforehand for the most consistent colour match, but implants themselves do not change shade after placement.

Dr. Kaushik Sarangi

Dentist

With a foundation in Biochemistry from the University of Sheffield, Dr. Kaushik Sarangi went on to pursue his passion for dentistry, graduating from the Leeds Dental Institute in 1995. Since then, he has gained extensive experience across all aspects of general and advanced dentistry, with a particular focus on dental implants, where he has established himself as a true expert in the field.

Renowned for his professionalism, clinical excellence, and calm, reassuring approach, Dr. Kaushik is dedicated to making every dental experience comfortable and stress-free. His patients value his attention to detail and the genuine care he brings to each appointment.

“My goal has always been to provide high-quality dental care, ensuring that each patient receives the personalised and gentle care they deserve,”
— Dr. Kaushik Sarangi

At the heart of Dr. Kaushik’s philosophy is a passion for precision, compassion, and helping patients achieve healthy, confident smiles that last a lifetime.

Dr. David Veress

Implantologist

Meet Our Expert Implantologist — Dr. David M. Veress

DMD, PgCert Implant (Tatum Institute)

Dr. David M. Veress is a highly skilled and respected implantologist who brings a wealth of experience, precision, and clinical excellence to our practice. With a deep commitment to continuous learning and innovation, Dr. Veress is passionate about delivering life-changing results that restore both function and confidence to his patients.

A Legacy of Excellence in Implant Dentistry

For six years, Dr. Veress served as a visiting implant surgeon at a renowned Harley Street clinic in London, where he refined his surgical skills and built a reputation for exceptional standards of care. His experience in such a prestigious environment reflects his dedication to advancing implant dentistry through skill, precision, and patient-centred care.

With over 15 years of clinical experience in implant and cosmetic dentistry, Dr. Veress has successfully completed more than 2,000 implant and graft procedures. His impressive track record, coupled with his meticulous approach and gentle chairside manner, has earned him the trust and loyalty of patients seeking high-quality, lasting dental solutions.

At our practice, Dr. Veress continues to combine advanced surgical expertise with a compassionate approach — transforming smiles and restoring confidence, one patient at a time.

Dr. Mohamedosman Elfadil

Dentist

Dr. Mohamedosman is a highly skilled and compassionate dentist with over 13 years of experience providing exceptional dental care. With a strong interest in composite bonding, clear aligner therapy, and implantology, he continues to expand his clinical expertise — currently pursuing a Master’s in Dental Implantology at the prestigious University of Salford.

Dedicated to delivering beautiful, natural smiles, Dr. Mohamedosman has successfully completed over 20 Reveal Clear Aligner cases in the past year alone, reflecting his commitment to staying at the forefront of modern, minimally invasive dentistry. Known for his gentle touch and calm demeanour, he takes pride in helping even the most anxious patients feel relaxed and confident throughout their dental journey.

His empathetic approach, attention to detail, and ability to build trust have earned him a reputation for creating a warm and friendly atmosphere where patients feel genuinely cared for.

Outside of dentistry, Dr. Mohamedosman leads a simple, family-centred life and enjoys expressing his creativity through music and singing. He firmly believes that high-quality dental care has the power to transform not only smiles but also lives — and continues to strive for excellence in every treatment he provides.

Dr Fahad Al-Dabbagh

Dentist

I am Fahad, a dedicated dentist with a profound interest in the diagnosis and management of gum (periodontal) disease, and advanced expertise in Dental Implantology. With a rich academic background and practical experience, I am committed to providing comprehensive, evidence-based care to enhance my patient oral health.

I earned my bachelor’s degree in dental surgery from the University of Mosul in 2005, marking the beginning of my journey in dentistry.

Recognizing the significance of specialised knowledge in periodontics, I pursued and achieved a clinical master’s degree in Periodontics awarded from the University of Baghdad in 2011. Driven by a passion for advancing my expertise, I completed a PhD in Periodontal Tissue Regeneration from Leeds Dental School in 2020, contributing to the latest advancements in the field.

Having practiced dentistry since 2006, my commitment to education led me to joining academia. As a clinical lecturer in periodontal and restorative dentistry, I’ve had the privilege of sharing my knowledge both in Iraq and the United Kingdom. This academic experience has enriched my perspective and fuelled my dedication to helping my patient equipped with knowledge and clinical experience.

Dr. Saqib Saghir

Cosmetic and General Dentist

Saqib has worked as a dentist for nearly 10 years. He specialises in general, cometic and digital dentistry aligning with his focus on implants. With more than 300 implant treatments to date, his experience and knowledge has helped relieve pain and enhance the smile of his patients.

He graduated in 2014 with a Bachelor of Dental Surgery Degree from the renowned Newcastle University Dental Hospital.

Saqib is passionate about building a strong, loyal team that is focused on quality service and the patient’s experience. He mentors his teams to provide the highest standard of technical ability whilst creating a relaxed environment for them to thrive.

Dr. Esteban Gonzalez

Cosmetic and General Dentist

A highly qualified and professional Implantologist, with extensive experience in the UK and Spain. Self motivated, patient focused, always striving to provide the highest quality of dental care. In his spare time, Dr. Esteban enjoys going to the cinema, reading, listening to music and cooking. Dr. Esteban is bilingual in English and his native language, Spanish.

Dr. Shahran Nik

implatologist

A highly qualified professional dentist in dental implants and oral surgery. Dr Nik’s career started in 1991 in the UK where he achieved his MSc from Manchester University. Following this, he achieved his Ph.D. in Implant Dentistry and Bone Grafting, Dr Nik has placed 1000’s of dental implants to all kinds of patients.

DEEPDALE

Deepdale - Teeth Whitening Offer – Brighten Your Smile for Just £199!

Give your smile a boost this season with our limited-time professional teeth whitening offer — now only £199 (normally £300).

Whether you’re preparing for a special occasion or simply want a fresher, brighter smile, our safe and effective whitening treatment delivers stunning results you can feel confident about.

Offer valid until 31st December — don’t miss out!

Book your appointment today and start the new year with a brighter, whiter smile.

T&Cs. If you haven’t had a check-up with us in the last 6 months, a £25 consultation is required to ensure whitening is suitable for you.

TOVEY LITTLE

Tovey Little - Teeth Whitening Offer – Save £50

Give your smile a boost this season with our limited-time professional teeth whitening offer — now only £315 (normally £300).

Whether you’re preparing for a special occasion or simply want a fresher, brighter smile, our safe and effective whitening treatment delivers stunning results you can feel confident about.

Offer valid until 31st December — don’t miss out!

Book your appointment today and start the new year with a brighter, whiter smile.

RICHMOND TERRACE DENTAL CENTRE

Christmas Sparkle Hygiene Offer – Only £50! 🎄

Get your smile holiday-ready with our festive Hygienist Clean, now just £50 (normally £60).

A professional clean is the perfect way to refresh your smile, remove plaque and staining, and feel confident for Christmas parties, photos, and celebrations.

What’s Included

  • A thorough scale & polish
  • Gentle removal of plaque and tartar
  • Fresher breath and a brighter smile
  • Expert oral hygiene advice

Offer valid from 1st–31st December
Spaces fill quickly over the festive period — book now and shine bright this holiday season!

Book your appointment today and start the new year with a brighter, whiter smile.

Call 01254 670105 or email hello@richmondterrace.co.uk to book your session